Grudzień 2026 🩷💙
-
WIADOMOŚĆ
-
Ja umówiona wizyta na 11.05 gin chcial wczesniej ale wolę juz w 7tc zeby była szansa na serduszko a nie jezdzic 2 razy bo mam 70km do swojego.
Widzę że Wy juz podzieliliście się radością z najbliższymi, ja czekam aż bede po 1 prenatalnych. Mimo ze mieszkam nad teściami to pierwsza poroniona ciaza o której tez nikt nie wiedzial sprawiła ze w kolejnych dwóch ciążach nie dzieliłam się wcześniej niż w 13 tc i 16tc
_____________________________________
starania od 10.2014
[*] 9tc. 04.2015
2017 🌸
dlugie starania i leczenie 2022 🩵
2026 -
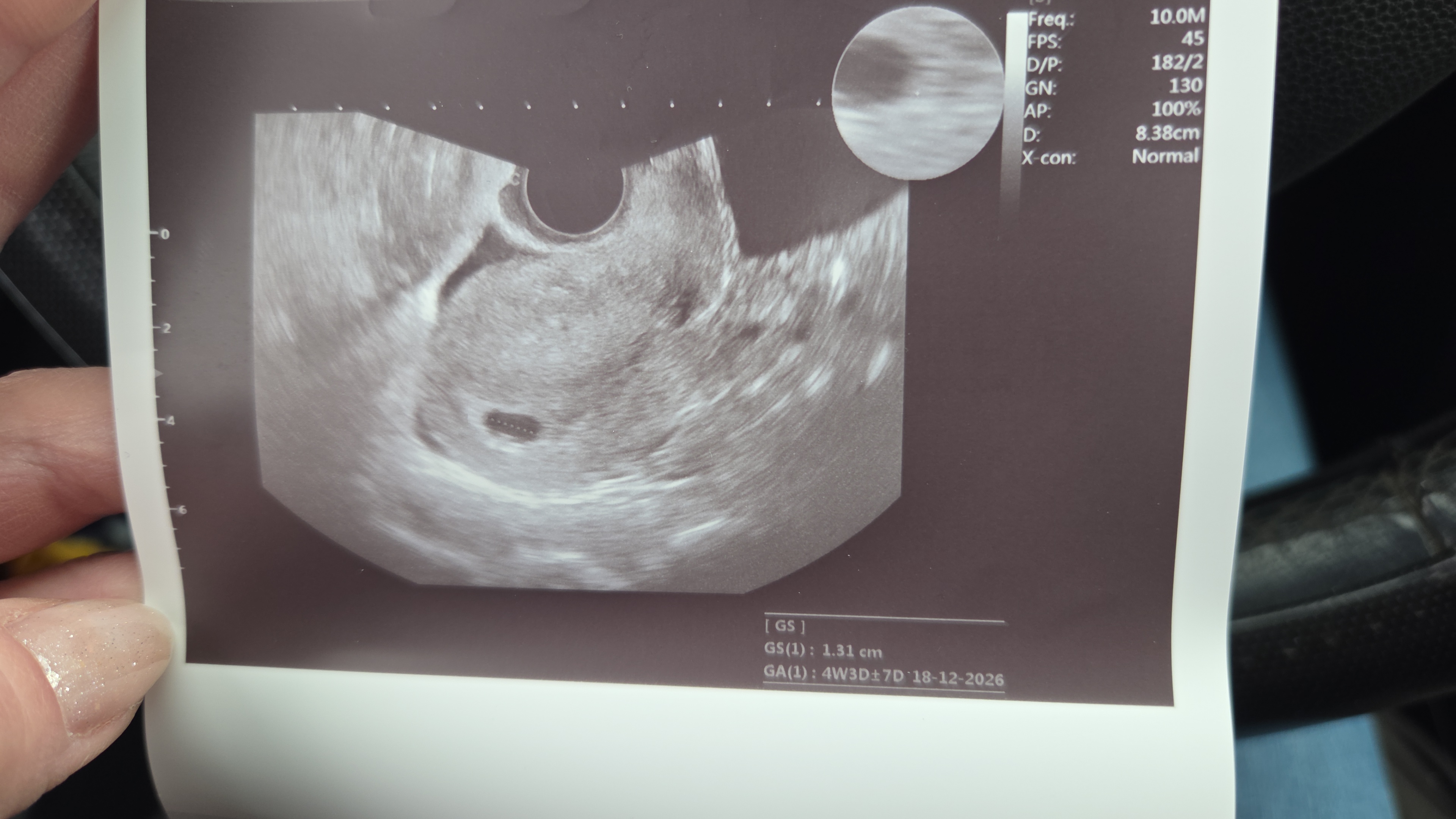
przyszłamama96 wrote:Jeśli mogę zadam to samo pytanie które wyżej skierowałam do Hery, a masz już pęcherzyk żółtkowy i pamiętasz ile mm ma pęcherzyk ciążowy? Ja byłam na USG 4+5 i trochę jestem zestresowana że był sam pęcherzyk ciążowy, zastanawiam się czy nie powinien być też już żółtkowy ale nie zapytałam ze stresu ..
Tak już było widać, u mnie parę dni więcej, bo jakoś 5+3, także nie stresuj się,bo kilka dni i u Ciwbuw będzie, a tydzień dwa będzie serduszko, ja też mogłam się wstrzymać wizyta i pójść na serduszkową, raz ze przy nieregularnych cyklach ciężko to oszacować, owu była później, a dwa chciałam dla spokoju, bo praktycznie zero objawów, gdzie z chłopakami juz wiedziałam "przed testem" i szybko się zaczęło, były objawy i bylam jakoś spokojniejsza, a teraz nawet piersi mnie nie bolą
przyszłamama96 lubi tę wiadomość
2020 💁♂️
2023 🙋
Grudzień 2026 🤰 -
Mama Antosia wrote:Byłam dzisiaj na paznokciach i spojrzała na mnie koleżanka i mówi że będzie dziewczynka na 100 % bo jak na mnie patrzy to jakby siebie widziała w ciąży z jej córką. Ale zauważyłam że tak jakoś spuchłam i to naprawdę szybko bo dopiero co 8 tydzień a ja nawet do połowy uda swoich spodni nie włożę i tak samo na twarzy też. A w ciąży z synem to tylko brzuch miałam i wszystko bez zmian. Aż się boję co będzie później coś w tym powiedzeniu że dziewczynki zabierają urodę jest 🤣 Dziadek i mama też mi mówią że córka będzie. Jestem ciekawa czy będą mieli rację 😄
To znaczy po czym to stwierdziła? Pytam z ciekawości 😁
Ostatnio rodzice byli u mnie w weekend i tez mama jakos taj inaczej na mnie patrzyła😳 ciekawe może się coś domyśla, ale jeszcze chwilę chcemy się wstrzymać z informacją
2020 💁♂️
2023 🙋
Grudzień 2026 🤰 -
Izia wrote:Hej witaj! Nie takie całkiem "dopiero"
A ile Ci wyszła glukoza, musisz wprowadzić coś farmakologicznie czy zalecenie diety tylko?
Napisałam dopiero, bo być może to kwestia długich starań
Jeszcze nie czuje się "pewnie".
Mam zdiagnozowana cukrzycę od kilkunastu lat
Genetyczny bardzo specyficzny typ cukry poranne u mnie naturalnie 120-130..całe szczęście przed transferem trafiłam na dobrego diabetologa, który mnie przygotował. Jestem na insulinie, na razie tylko bazowej dlugodziałającej. Obecnie udało mi się zejść z wynikami bardzo mocno dziś o 5 rano nawet się ratowałam bananem przy cukrze 71, no bo wiedziałam że będzie dalej zjeżdżać 🫢
Niestety po posiłkach jest ciężko. Mam bardzo dużą restrykcje dietetyczną. Pewnie dostanę docelowo insulinę do posiłku, bo aż ciężko żyć 🫣 Cokolwiek z węglami zjem to mi skacze cukier.Wiadomość wyedytowana przez autora: 29 kwietnia, 19:49
Izia lubi tę wiadomość
-
emmac wrote:Ja umówiona wizyta na 11.05 gin chcial wczesniej ale wolę juz w 7tc zeby była szansa na serduszko a nie jezdzic 2 razy bo mam 70km do swojego.
Widzę że Wy juz podzieliliście się radością z najbliższymi, ja czekam aż bede po 1 prenatalnych. Mimo ze mieszkam nad teściami to pierwsza poroniona ciaza o której tez nikt nie wiedzial sprawiła ze w kolejnych dwóch ciążach nie dzieliłam się wcześniej niż w 13 tc i 16tc
My moim najbliższym powiedzieliśmy po pierwszej becie, ale to dlatego, że wiedzieli o temacie i kibicowali nam mocno ☺️
Rodzina partnera dowie się jak będziemy mieli wyniki badań. Przed prenatalnym będziemy robić Panoramę, to od razu będziemy znali płeć maluszka 🤭 -
Sylaada wrote:My moim najbliższym powiedzieliśmy po pierwszej becie, ale to dlatego, że wiedzieli o temacie i kibicowali nam mocno ☺️
Rodzina partnera dowie się jak będziemy mieli wyniki badań. Przed prenatalnym będziemy robić Panoramę, to od razu będziemy znali płeć maluszka 🤭
Jaki jest koszt takiego badania?2020 💁♂️
2023 🙋
Grudzień 2026 🤰 -
Lunaaa12 wrote:Jaki jest koszt takiego badania?
Około 2000 tysięcy zł. To też zależy gdzie się zrobi, czy trafi się jakaś promocja czy wersja podstawowa czy pro. Ja właśnie powoli będę szukać, bo czas szybko zleci. Bardzo popularne są teraz Nifty, ale według mnie mocno zinfluensowane
i mają gorsze opinie niż Panorama. Na świeżo, wczoraj mając ostatnią wizytę w klinice rozmawiałam o tych badaniach z moim prowadzącym. Powiedział, że też bardziej skłania się ku Panoramie a ogólnie co do takich badań to sam też robił swoim dzieciom
Wiadomość wyedytowana przez autora: 29 kwietnia, 20:04
-
Nie wiem na którym wątku tutaj to widziałam, ale dziewczyny też polecały test Panorama albo też FeliaTest. O Nifty pisały ze statystycznie często jest false negative (wskazuje że nie będzie choroby a jednak się pojawia) ale nie sprawdzałam o jakim często mówimy.Sylaada wrote:Około 2000 tysięcy zł. To też zależy gdzie się zrobi, czy trafi się jakaś promocja czy wersja podstawowa czy pro. Ja właśnie powoli będę szukać, bo czas szybko zleci. Bardzo popularne są teraz Nifty, ale według mnie mocno zinfluensowane
i mają gorsze opinie niż Panorama. Na świeżo, wczoraj mając ostatnią wizytę w klinice rozmawiałam o tych badaniach z moim prowadzącym. Powiedział, że też bardziej skłania się ku Panoramie a ogólnie co do takich badań to sam też robił swoim dzieciom 
Jak poczytałam to ja chyba z kolei wybiorę FeliaTesthttps://www.tickerfactory.com/ezt/d/1;20723;95/st/20261227/e//dt/6/k/faa6/preg.png -
Dziewczyny gratuluje wizyt i trzymam kciuki za kolejne 🩷 ja mam teraz (wieczorem ) mniejsze mdłości może dzięki lekom ? Ale jest słabo ogólnie taki stan jak przy przeziębieniu eh .. lubię oglądac jakieś dania pyszne jak ktoś gotuje itd a teraz kompletnie mnie to odrzuca ale staram sobie wymyślić danie na które mam ochotę i wymyśliłam że zjadła bym ramen 🤣 a i nie wiem czy pisałam ale jeszcze przed testem pozytywnym odrzuciło mnie od słodyczy więc praktycznie ich nie jem
Przebadani - zdrowi
starania od 08.2024 .
15.04- rośnie nowe życie ! -
Ja w pierwszej ciąży nie robiłam, ale teraz też zastanawiam się nad Panoramą.
Sylaada lubi tę wiadomość
33 🙋🏼♀️
👶🏼 08.2024
01.2026 💔 poronienie zatrzymane
03.2026 wznowienie starań 🌈
08.04 ⏸️ Fasolko zostań. 🙏
13.04 14 dpo - 263,11
15.04 16 dpo - 830,05
21.04 22 dpo - 8865,74 🍀
27.04 jest Maluszek z ❤️ -
emmac wrote:Widzę że Wy juz podzieliliście się radością z najbliższymi, ja czekam aż bede po 1 prenatalnych. Mimo ze mieszkam nad teściami to pierwsza poroniona ciaza o której tez nikt nie wiedzial sprawiła ze w kolejnych dwóch ciążach nie dzieliłam się wcześniej niż w 13 tc i 16tc

Też czekam do prenatalnych, wtedy powiemy teściom, oficjalnie moim rodzicom (bo na razie tylko mama na urodziny newsa dostała) i bratu męża. Rodzinie dalszej i przyjaciołom zdradzać nie chcę jak najdłużej, dlatego jak pojawi się brzuch obiecałam sobie żadnych spotkań z nikim. W pracy wie szefowa mojego działu, ale ona układa mi grafik, więc musiałam powiedzieć, a do głównego szefostwa pofatyguję się jak już będzie 4miesiąc i pójdę na urlop. Natomiast jestem na etapie indywidualnego informowania moich ślubnych par, których ślubu już wiem, że sfotografować nie będę mogła. Stresuje mnie to, bo wiem ile to było fatygi, spotkań, castingów by ktoś mnie wybrał, a teraz muszę zapewnić zastępstwo. Właśnie jutro rano mnie czeka taka jedna rozmowa, uznałam, że na żywo po skończonej sesji żeby mieli na nią dobre humory.
👩'83👨'83
📌Ona: PCOS, niedoczynność tarczycy, kiry AA
2018 - 2021 starania naturalne
2022 inseminacja ❌
06/2022 I IVF
czerwiec punkcja, 3 zarodki
I transfer świeżaka beta 8.10 i 3.90
sierpień II transfer ❄️ ❌
listopad III transfer ❄️ ❌
07/2023 II IVF
lipiec punkcja, 3 zarodki
IV transfer ❌
wrzesień V transfer ❄️ 5dpt beta 10.92 7dpt 42.16 9dpt 101.03 12dpt 151.17 13dpt 167.70 15dpt 105
listopad VI transfer ❄️5dpt 15 7dpt 30.46 10dpt 18
01/2024 III IVF
styczeń punkcja pobrano 12🥚, 2 zarodki, oba chore
05/2024 IV IVF
maj punkcja pobrano 13🥚, 5 zarodków, 1z5 zdrowy
lipiec VII transfer ❌
07/2025 V IVF
lipiec pobrano 15 🥚 , 3 zarodki bez badań
sierpień VIII transfer ❄️ ❌
wrzesień IX transfer ❄️❄️ ❌
10/2025 VI IVF
październik punkcja pobrano 15 🥚 7 zapłodnionych, 4 zarodki bez badań
03/2026
X transfer ❄️❄️
8dpt beta 92.7 11dpt 332.01 13dpt 584.55 15dpt 1515.17 26dpt jest ❤️! -
O właśnie o Tobie myslalam dzisiaj, tez jestem slubnym. Przy 3 ciazy musialam 12 odwołać i zwracać zaliczki, teraz ułożyło się idealnie bo mam intensywny teraz poczatek sezonu a od sierpnia 4 sluby
także zaczynam sezon i rodząc na koniec roku do początku nowego w koncu bede mogla cieszyc się malenstwem a nie wracac do pracy 8 tygodni po cc
Izia lubi tę wiadomość
_____________________________________
starania od 10.2014
[*] 9tc. 04.2015
2017 🌸
dlugie starania i leczenie 2022 🩵
2026 -
Jeśli chodzi o testy to też się zastanawiam czy robić... W pierwszej ciąży nie robiliśmy, bo chyba nawet nie wiedziałam o ich istnieniu 🙈 ale po poprzedniej ciąży z wadą genetyczną mam obawy czy nie będzie powtórki. Ale znowu wiem, że te testy przesiewowe nie wykryją żadnej rzadkiej mutacji. W poprzedniej ciąży wykonywaliśmy wes, ale to są takie koszta, że wolałabym tego uniknąć tym razem jeśli tylko będę mogła. Więc trochę jestem w kropce czy jest w ogóle sens, a jeśli jest, to co będzie najlepsze...
-
Zaczytuję się w waszych postach - dobra lektura.
My z mężem powiedzieliśmy bardzo szybko po zobaczeniu samego pęcherzyka mojej mamie, kilka dni później rodzicom męża. Szybko, ale to pierwsza ciaza I ja trochę też oszalałam z radosci.
Uśmiechałam się się pisaliście o informowaniu klientów - moi pacjenci (jestem psychologiem) dowiedzieli się wcześniej nie rodzina - bo musiałam wprowadzić im reżim sanitarny, pracuję między innymi z dziećmi I nie chce się niczym zarazić... a dwa musialam odwołać wizyty i na trochę znikłam bo źle się czułam popołudniami plus teraz wytyczne od lekarza żeby ograniczyć prace...
To taki paradoks że pacjenci i klienci wiedzą wczesniej niż często bliskie osoby.
W ogóle jak wygląda Wasze stresowanie się tematem tego czy wszystko jest okej z maluszkami?
Dla mnie to pierwsze doświadczenie i trudno mi jest czekać od wizyty do wizyty żeby potwierdzać że maluszek dalwj jest i wszystko git... ale mam nadzieję że za jakiś czas mi to przejdzie -
Sylaada wrote:Około 2000 tysięcy zł. To też zależy gdzie się zrobi, czy trafi się jakaś promocja czy wersja podstawowa czy pro. Ja właśnie powoli będę szukać, bo czas szybko zleci. Bardzo popularne są teraz Nifty, ale według mnie mocno zinfluensowane
i mają gorsze opinie niż Panorama. Na świeżo, wczoraj mając ostatnią wizytę w klinice rozmawiałam o tych badaniach z moim prowadzącym. Powiedział, że też bardziej skłania się ku Panoramie a ogólnie co do takich badań to sam też robił swoim dzieciom 
Dzięki za informacje
nie słyszałam wcześniej o Panoramie, zagłębie się w temat
Sylaada lubi tę wiadomość
2020 💁♂️
2023 🙋
Grudzień 2026 🤰 -
PsychoKłaczek wrote:Zaczytuję się w waszych postach - dobra lektura.
My z mężem powiedzieliśmy bardzo szybko po zobaczeniu samego pęcherzyka mojej mamie, kilka dni później rodzicom męża. Szybko, ale to pierwsza ciaza I ja trochę też oszalałam z radosci.
Uśmiechałam się się pisaliście o informowaniu klientów - moi pacjenci (jestem psychologiem) dowiedzieli się wcześniej nie rodzina - bo musiałam wprowadzić im reżim sanitarny, pracuję między innymi z dziećmi I nie chce się niczym zarazić... a dwa musialam odwołać wizyty i na trochę znikłam bo źle się czułam popołudniami plus teraz wytyczne od lekarza żeby ograniczyć prace...
To taki paradoks że pacjenci i klienci wiedzą wczesniej niż często bliskie osoby.
W ogóle jak wygląda Wasze stresowanie się tematem tego czy wszystko jest okej z maluszkami?
Dla mnie to pierwsze doświadczenie i trudno mi jest czekać od wizyty do wizyty żeby potwierdzać że maluszek dalwj jest i wszystko git... ale mam nadzieję że za jakiś czas mi to przejdzie
Stres przed każdą wizyta zawsze będzie, ale generalnie podchodzę z większym spokojem, może dlatego, że to juz trzecia ciąża, ostatnia2020 💁♂️
2023 🙋
Grudzień 2026 🤰 -
przyszłamama96 wrote:Jeśli mogę zadam to samo pytanie które wyżej skierowałam do Hery, a masz już pęcherzyk żółtkowy i pamiętasz ile mm ma pęcherzyk ciążowy? Ja byłam na USG 4+5 i trochę jestem zestresowana że był sam pęcherzyk ciążowy, zastanawiam się czy nie powinien być też już żółtkowy ale nie zapytałam ze stresu ..
https://zapodaj.net/plik-MG2HPK41Vf
przyszłamama96 lubi tę wiadomość
-
Jestem mega zestresowana przed pierwszym usg które jest dopiero za ponad tydzień. Myślę, że to normalne że boimy się o nasze maluszki. Szkoda że jeszcze nie wymyślili jakiejś technologii która pozwalałaby na monitorowanie co się tam dzieje 24h na dobę 🤣
Wiolami lubi tę wiadomość
-
Mówiła że szybko „przybrałam” że jakoś na buzi się zmieniłam a jak byłam 3 tygodnie wcześniej to zupełnie inaczej wyglądałam. Ja nie wiem jak oni to widzą ale coś w tym jest że ciąża zmienia 😅 Jutro na 10:30 mam 1 wizyte u swojego lekarza prowadzącego ale jestem ciekawa co tam zobaczymy trochę się stresuje ale widzę że tu chyba każda tak ma 😄Lunaaa12 wrote:To znaczy po czym to stwierdziła? Pytam z ciekawości 😁
Ostatnio rodzice byli u mnie w weekend i tez mama jakos taj inaczej na mnie patrzyła😳 ciekawe może się coś domyśla, ale jeszcze chwilę chcemy się wstrzymać z informacją
-
Mama Antosia wrote:Mówiła że szybko „przybrałam” że jakoś na buzi się zmieniłam a jak byłam 3 tygodnie wcześniej to zupełnie inaczej wyglądałam. Ja nie wiem jak oni to widzą ale coś w tym jest że ciąża zmienia 😅 Jutro na 10:30 mam 1 wizyte u swojego lekarza prowadzącego ale jestem ciekawa co tam zobaczymy trochę się stresuje ale widzę że tu chyba każda tak ma 😄
Pamiętam jak koleżanka z pracy była w ciąży na spotkaniu po pracy w 3 miesiącu ciąży - nic jeszcze nie wiedzieliśmy, ale inna koleżanka bardziej doświadczona życiowo powiedziała później, że po Ani od razu poznała 😄 bo Jej się buźka zmieniła. Może coś w tym jest 🤭








